腦腫瘤|耳鳴勿輕視 或患上聽覺神經瘤!
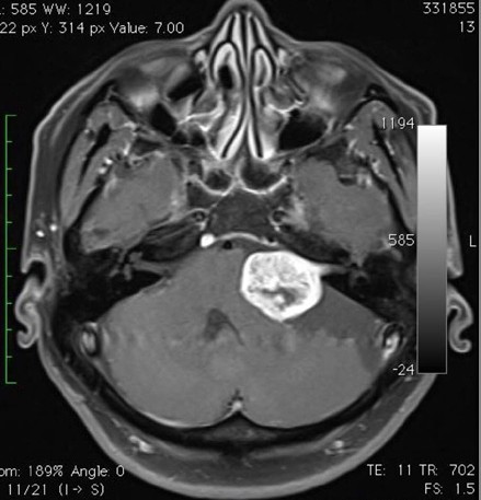
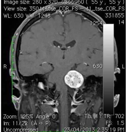
聽覺神經瘤(Acoustic Neuroma)又稱為聽神經許旺氏細胞瘤(Schwannoma),或前庭神經鞘瘤(Vestibular Schwannoma),是許旺氏細胞瘤沿第8條腦神經線生長所致。聽覺神經瘤佔了所有顱內腫瘤(Brain Tumour)總數約8%。不過在區域性劃分上,聽覺神經瘤在小腦腦橋角(Cerebral - pontine Angle)是常見的腫瘤,大約佔了所有小腦腦橋角區域腫瘤(Cerebral-pontine Angle Tumor)的80至90%。
47349次閱讀


