琺瑯質流失無法再生!港大牙科教授拆解牙齒酸蝕原因、治療方法及預防建議
牙齒酸蝕有甚麼症狀?
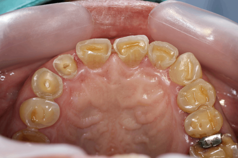
病患初期僅侵蝕琺瑯質時,可以沒有明顯的症狀,只有如牙齒帶黃色、牙齒表層有磨損現象、牙齒邊有破裂、牙齒看來「薄」了等。但當侵蝕到象牙質時,患者會感到牙齒酸軟。此外,在進食冷、熱甜點或酸性食物及飲品;刷牙或使用牙線時會感到刺痛。由於牙齒酸蝕症是慢性的,直到出現遇冷、熱、酸、甜,牙齒敏感症狀出現才會引起注意,而出現這種情況時,可能已經影響到牙齒的咀嚼功能。而且牙齒酸蝕造成的破壞是無法逆轉的,琺瑯質一旦流失就無法復原或再生。
77577次閱讀
