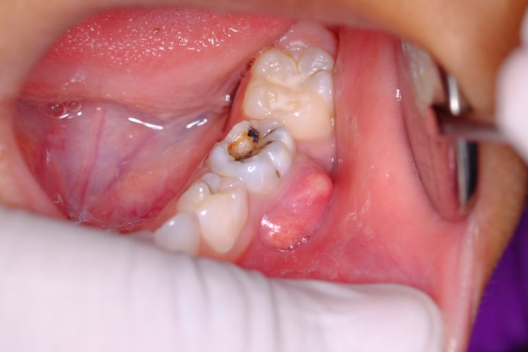
智慧齒不夠位生長怎麼辦?3大影響你要知:蛀牙/牙周病、冠周炎、牙齒囊腫
智慧齒,從專業角度來講,就是人們的第三隻臼齒,生長在最遠端的牙齒,也是最後一顆生長出來的牙齒,通常在17至25歲的年齡間生長出來。
智慧齒不夠位生長的原因
經常聽人說智慧齒不夠位生長,這是為什麼呢?首先,隨著人類的進化,人類的下顎骨比起我們祖先要短許多,然而牙齒的數目卻沒有改變,因此下顎的智慧齒便經常不夠位生長,導致阻生智慧齒。另外,隨著人類社會的進步,攝入的食物從粗糙的變成細膩的,因此牙齒咀嚼所需要的摩擦降低很多,我們牙齒與牙齒之間的磨耗減少,自然智慧齒更加可能不夠空間生長。
12087次閱讀
