多囊卵巢症與不育 | 婦產專科醫生詳解成因、症狀與治療方法
上文提及一些導致不育的原因及相關的檢查。家計會研究顯示每六對夫婦就有一對有不育的問題,男士被確診有不育問題的個案與女士相若,各佔三成。而男女雙方均有不育問題約佔三成,一成的夫婦則是由不明因素導致不育。
其中,「多囊卵巢症」可說是女性方面較常見導致不育的原因。根據數字顯示,全港不育婦女中約有百分之十受這問題影響。有人會問:「既然『多囊』,不是有很多卵泡嗎?為什麼會導致不育呢?」
7853次閱讀
上文提及一些導致不育的原因及相關的檢查。家計會研究顯示每六對夫婦就有一對有不育的問題,男士被確診有不育問題的個案與女士相若,各佔三成。而男女雙方均有不育問題約佔三成,一成的夫婦則是由不明因素導致不育。
其中,「多囊卵巢症」可說是女性方面較常見導致不育的原因。根據數字顯示,全港不育婦女中約有百分之十受這問題影響。有人會問:「既然『多囊』,不是有很多卵泡嗎?為什麼會導致不育呢?」
那麼,先說說甚麼是「多囊卵巢症」吧!這個問題主要是先天性的,成因是由於過高的黃體刺激素或胰島素抗阻,引致卵巢產生過多雄激素。除了受遺傳因素影響,亦跟環境因素有關,例如肥胖、缺乏運動。因此,肥胖的女士是比較高危會患有「多囊卵巢症」,這是由於患者通常有脂肪積聚問題,故體重超標可以是症狀之一。
「多囊卵巢症」患者一般有三種表徵:
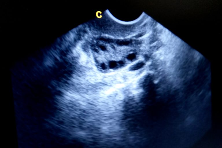
李太今年三十五歲,五年前服食排卵丸成功懷孕,生了一個小寶寶之後,一直沒有避孕想多要一個孩子,可是遲遲懷不上。「醫生,我有多囊卵巢症,上胎都要靠食藥才受孕,平時經期都不來,要吃催經藥。」我看她體形適中,不似多數患者體重超標,但體重指標( BMI)在正常水平的人也會受「多囊卵巢症」困擾。我替她檢查,超聲波顯示卵巢增大,每邊卵巢有三十多個細小的卵泡。加上她經期不準,臨床診斷為「多囊卵巢症」。
如果患有「多囊卵巢症」應怎麼辦?肥胖的女士,應以控制飲食及適當運動去減低體重。有研究顯示,成功降低10%的體重可以幫助排卵,繼而令經期較準及增加懷孕的機會。如有不育的問題,可透過服食排卵丸、打速卵泡激素及體外受孕(試管嬰兒)等方法,增加生育機會。
這次李太要求再服食排卵丸,可惜口服藥物未能成功刺激卵泡發育。最終她要打速卵泡激素針劑去刺激卵泡發育,以及打排卵針之後,才成功懷上了雙胞胎。
你是不是也有經期不準的問題?也許是時候做詳細的婦科檢查和超聲波,看看是否患上「多囊卵巢症」!
延伸閱讀
