兒童前臂骨折 | 骨折需要多長時間康復?骨科醫生講解骨折成因、徵狀、診斷及石膏/手術治療方法
小童的骨質軟而有彈性,不用很大外力就能折彎,因此稍一不慎在耍樂蹦跳期間跌倒或從稍高位置跌下就有可能造成骨折。
48356次閱讀
小童的骨質軟而有彈性,不用很大外力就能折彎,因此稍一不慎在耍樂蹦跳期間跌倒或從稍高位置跌下就有可能造成骨折。
骨頭受到了突如其來的強大衝擊而造成
常見會有外觀變形、彎曲的情況
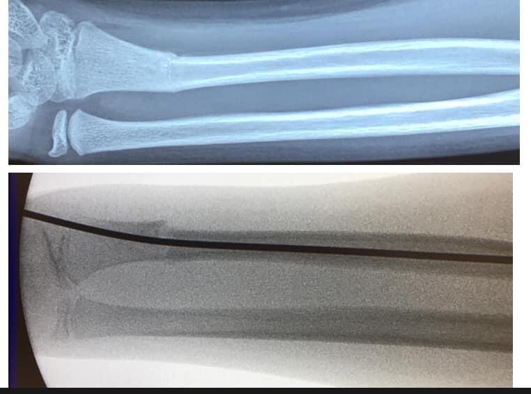
醫生會先以X光去確定受傷位置和骨折的嚴重程度
延伸閱讀
