中風 | 及早住院防併發症!腦神經科專科醫生剖析中風成因、病徵及最新治療方法
中風為全球人類健康第四大殺手。幸存者多有不同程度之後遺症,及早和正確的治療有助減低死亡率,提高康復後生活質素和預防中風復發。
98890次閱讀
中風為全球人類健康第四大殺手。幸存者多有不同程度之後遺症,及早和正確的治療有助減低死亡率,提高康復後生活質素和預防中風復發。
中風是由於供應腦部的血液中斷而造成的腦損傷,中風的成因可大致分成兩種,分別為缺血性和出血性中風。
缺血性中風是由動脈堵塞形成。在人體的動脈血管,膽固醇和脂肪沈澱物隨著時間慢慢堆積,導致血管逐漸變窄,形作血栓,最終並完全阻塞,大約有75%中風因此而起。除此之外,血管堵塞亦可因栓塞而起。栓塞是由凝塊造成腦部或頸動脈堵塞,凝塊可能從心臟 (特別是心律不正或心瓣有毛病的人) 或動脈內壁沈澱物脫下來,再隨血液流動,堵塞不同大小、位置的血管,大約兩成中風因此而起。
出血性中風是由於腦內或其表面動脈破裂而造成。破裂的成因可能由高血壓,血管病變或動脈瘤引起,大約兩成中風由出血造成。
中風病徵是由供腦血液減少或中斷所造成,所以病徵取決於腦部受影嚮的範圍。最常見的病徵包括面部、手部或腿部突然無力、癱瘓或麻痺,上述情況尤其常見發生在身體一邊的時候。其他病徵包括話語不清,語言表達或理解有困難、視力模糊,視野收窄、平衡能力下降、面部不對稱、劇烈頭痛等。
有些病人的徵狀維持少於二十四小時之後完全康復,稱為短暫性缺血發作預警(Transient Ischaemic Attack)。但是,請不要掉以輕心,因為根據研究數據顯示,二十人中便有一人在一星期內會中風。所以確認這此預警十分重要,因為病人需要立刻接受治療,以減低中風機會。
中風診斷需由醫生根據臨床病徵,掃描變化 (電腦掃描或磁力共震) 作出確診。部份病人更需作出透顱多普勒超聲波、血管造影、心臟超聲波、二十四小時心電圖,找出背後引致中風之成因。
醫生還會通過量度血壓、心電圖、血糖、體重和膽固醇評估個別病人可控制的中風危機因素。它們包括高血壓、糖尿病、高膽固醇、超重、吸煙、各心房纖顫等。以上疾病均可以透過運動、飲食、生活習慣及藥物加以預防和控制。
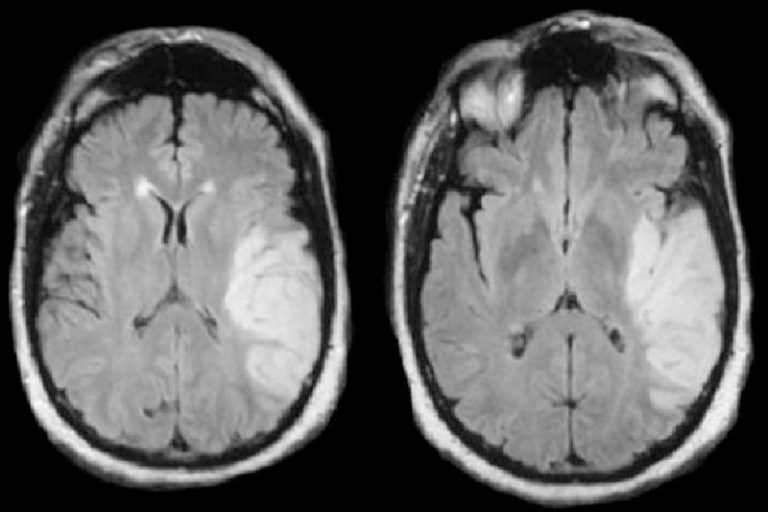
患有缺血性中風病者的磁力共震圖片。
中風病人必須住院以確定中風原因及治療,並防止併發症發生。一般而言,缺血性中風病人須服食抗血小板黏合藥物如亞斯匹靈,以減低未來中風機會。當中風病人情況穏定,便應開始康復治療。
最新硑究顯示,在中國中風病人當中,約五成缺血性中風成因是由於顱內動脈收窄,一至兩成是由於頸部大動脈收窄。若顱內中腦血管前端收窄及頸部大動脈收窄超過七成,均可考慮無創導管手術把血管打通並放入支架作為治療方法。
延伸閱讀
