中風 | 腦血管外科的中風三部曲 (預防篇):中風不分年齡!甚麼是先天性的腦血管病變?
腦血管外科是腦神經外科其中的一個專門範疇,是負責中風的預防、急救和康復治療。然而我們的中風三部曲就是圍繞著這三個中風的里程碑。筆者這一期會以過往的臨床經驗和案例,和讀者解說中風的第一部曲, 就是解說一般人對預防中風的誤解和低估,然而嚴格的中風預防及篩查,才是有效的令中風不會發生。
一般人對預防中風的誤解和低估:
10648次閱讀
腦血管外科是腦神經外科其中的一個專門範疇,是負責中風的預防、急救和康復治療。然而我們的中風三部曲就是圍繞著這三個中風的里程碑。筆者這一期會以過往的臨床經驗和案例,和讀者解說中風的第一部曲, 就是解說一般人對預防中風的誤解和低估,然而嚴格的中風預防及篩查,才是有效的令中風不會發生。
一般人以為,單是透過運動、健康飲食、不煙不酒、防治三高(即血壓高、血糖高、膽固醇高),又或是簡單的心電圖、抽血檢驗血糖和膽固醇,就能有效地預防中風,那麼未免將以上的基本預防的成效高估,也將中風的成因太低估了!
我們要知道大多數病人中風的原因主要是因為大腦或頸血管有先天性、或後天性的病變,是血管結構上的問題。然而以上三高的基本健康預防只是減低和減慢將來會發生的後天血管病變,而是沒有針對地去找出我們人體已經發生了的先天性、或是過往已經造成的後天性血管病變。
我們亦要知道有很多中風患者的血液膽固醇含量都是正常的,所以抽血檢查是不能完全預防中風的。因為膽固醇就像我們晚餐的湯裏的油脂一樣:油脂是浮在湯面或黏附着湯碗壁的,是不能用放在湯裏的針筒去抽取的。然而人體的膽固醇亦是黏附着血管壁的,而對其造成病變,令血管壁收窄、閉塞來引致缺血性中風。另外,膽固醇亦會侵襲血管壁,令其變得纖薄而產生動脈瘤來引致出血性中風。
再者,比喻說我們人體就如一部汽車,政府規定汽車每一年都要例行檢查汽車的零件,看看是否安全行駛,不會在駕駛中失去安全操作而發生意外。然而,抽血檢查就像放取汽車偈油來檢查一樣,不能反影汽車內部零件的耗損和安全性。那麼要防止人體腦中風意外的發生, 就是不能單單透過抽血檢驗,而是要利用三維立體腦血管造影,作出詳盡的人體零部件篩查。如果例行的身體檢查包括了三維立體腦血管造影,腦神經外科醫生就可以在患者沒有症狀之前,找出先天性或後天性的計時炸彈,在其未爆發前將其拆除,來避免中風。
身體檢查的三維立體腦血管造影篩查
案例一:
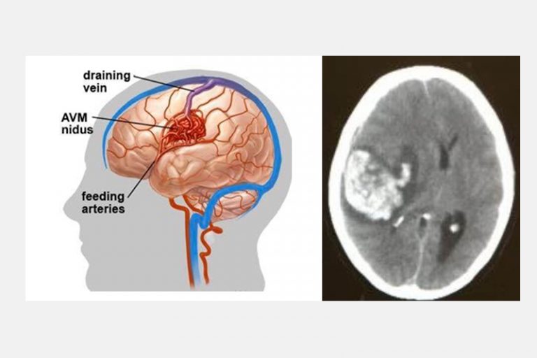
四歲小朋友,出生以來一切健康正常,沒有任何症狀,有一天隨著母親逛街,突然感到頭部劇痛,然後急速昏迷。送到醫院證實是先天性大腦動靜脈畸形血管瘤爆破而引致的嚴重出血性中風,他雖然從死亡鬼門關好不容易才被拯救出來,但即使經過多年的救治,也不能逆轉中風對大腦神經的永久損害,如今小孩仍然患有嚴重殘疾,不能與人溝通及需要長期臥床。
案例二、三、四:
三個分別是十五、十六歲和三十九歲的女孩和女士,一向健康正常及沒有頭痛症狀,三個不約而同地分別在懷孕初期、中期及後期,突然嚴重大腦出血性中風,劇烈頭痛後急速昏迷休克,在緊急腦外科開顱手術清除瘀血及減低顱內壓後, 幸好兩名十五、十六歲的少女和他們的小孩得到完全的康復,沒有任何後遺症。可是39歲的女士,雖然其小孩能夠正常地活下來,但女士卻變成了植物人,在醫院臥床了五年後才去世。
先天性大腦動靜脈畸形血管瘤爆破而引致的嚴重出血性中風
清除血塊後,在顯微鏡下切除腦先天性動靜脈畸形血管
案例五、六:
兩位分別是16歲的少年和56歲的男士,在沒有任何徵象之下做了詳盡的身體檢查,三維立體腦血管造影顯示兩人的大腦都有先天性的腦血管動靜脈畸形,在專科醫生建議之下透過了一段時間的觀察和保守治療,其後利用了微創內血管治療加上放射治療,畸形血管得到了有效的根治,病人與生俱來的大腦炸彈得到了拆除,減低了他們將來出血性中風的可能性。
三維立體腦血管造影顯示左邊大腦都有先天性的腦血管動靜脈畸
從以上的腦血管外科案例經驗,我們知道先天性的腦血管疾病,例如大腦動靜脈畸形血管瘤,是可以透過詳盡的三維立體腦血管造影作出篩查,腦神經外科醫生就可以在患者沒有症狀之前,找出先天性的計時炸彈,在未爆發前將其拆除,避免悲劇發生。
我們下一期會是腦血管外科的中風三部曲之第一部下集:後天腦血管病變的篩查和治療,請大家密切留意。
延伸閱讀
