15歲少女染疫痊癒後智商退化 母:性格改變成另一個人
編輯: Fion
日期: 2020-08-18
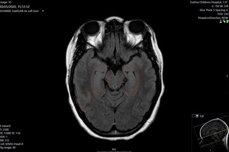
新冠肺炎疫情嚴峻,世界各地都有不少康復者出現後遺症,包括呼吸困難、記憶力轉差,甚至失聲的情況。據外媒報道,來自英國倫敦有一名15歲的少女Nia Haughton感染新冠病毒,一度在深切治療部留醫,待了近兩星期,後來情況轉好康復,卻出現後遺症,包括腦部受損,有幻覺等,性格更似是變了另一個人。
3670次閱讀
