主頁 >  生活百科 >  食用安全|55歲男子食半生熟魚片 左肝變「大膿球」長滿寄生蟲卵 肝臟消失一半

食用安全|55歲男子食半生熟魚片 左肝變「大膿球」長滿寄生蟲卵 肝臟消失一半

Fion
編輯: Fion
日期: 2021-06-18

進食未熟煮食物,隨時有機會「禍從口入」!一名55歲的男子吃完酸菜魚生魚片後,出現食慾不振、乏力腹瀉等症狀,最初以為是父親離世致心情鬱悶影響,可是其後到醫院求診,始發現肝臟已經被寄生蟲吃掉一半。

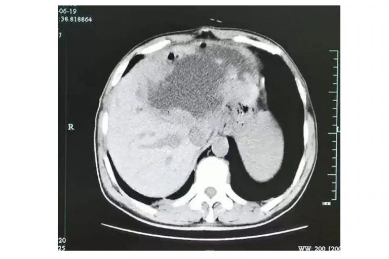
綜合內地報道,一名55歲的謝姓男子,在杭州打工多年,早前因父親父親病故回鄉,不久後開始出現食慾不振、乏力,起初還伴隨輕度腹痛、腹瀉。相隔4個月,直到連續出現3日畏寒、發熱,隨即杭州市第一人民醫院肝膽胰外科求醫。醫生檢查竟發現謝男的左肝已被吃光,甚至變成一個大膿球,達長19厘米,寬18厘米,深12厘米的大小,而且囊壁上還長有很多腫瘤,壁亦很厚。

接著,醫生以穿刺引流,將大量的灰白色膿液引出,又再過了三星期,謝男的左肝膿腫小了一大半,可是肝臟上仍有腫瘤,於是醫生決定進行手術將左半肝切除,豈料手術期間發現膿腫壁上大量的腫瘤樣結構,竟然是肉芽腫性炎性腫塊,而內裡還爬滿無數燈泡狀、殼厚的華支睾吸蟲蟲卵。

手術後,謝男回憶起早前回鄉時,在四川當地買過魚做了一次酸菜魚,但「為了追求鮮嫩的口感,魚片只用熱水氽了幾十秒就吃了。」他解釋,當地人有生吃或半生吃魚片的習慣,當地人稱之為「魚生」。

報道又引述醫生指,此蟲每次可產1,400到2,000個卵,而且可存活20到30年,若然置之不理,肝吸蟲會寄生在宿主的肝臟系統,甚至有可能併發膽囊炎、膽管炎、膽管阻塞等,甚至引起肝癌。

生魚片

常見的腸道寄生蟲有哪些?

肝吸蟲屬腸道寄生蟲其中之一,能影響身體健康,常見腸道寄生蟲還有蛔蟲、蟯蟲、鈎蟲、縧蟲。

一般而言,例如鯇魚和大頭魚等生的淡水魚,可能帶有可令肝臟內膽管梗阻、發炎和出現癌症的中華肝吸蟲。其實生的淡水魚外,海魚(包括三文魚和吞拿魚)和其他海產也可能含有寄生蟲,所以如果不想從魚類感染寄生蟲,最好是避免進食生或未經煮熟的魚[1]。

7198次閱讀
Loading
icon_facebook icon_whatsapp icon_line icon_mail icon_print