暗瘡不要亂擠!不少人都有擠暗瘡、暗粒的習慣,然而有人近日差點因擠暗瘡而丟命。一位19歲女生早前因為鼻樑上長了痘痘,於是便將之擠掉,可是卻引發顱內感染,患上「海綿竇血栓性靜脈炎」,若不及時接受治療,可能會有生命危險。
綜合內地媒體報道,來自寧波寧海的19歲女生小楊,自行擠走鼻樑上的一顆青春痘。可是,之後她的右眼四周皮膚紅腫疼痛,數天後發燒至39.7℃,右眼出現腫脹,睜眼有困難,於是急忙到醫院求醫。
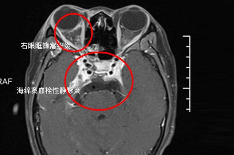
經診斷後,小楊證實患「海綿竇血栓性靜脈炎」,一種嚴重顱內感染,當時的她已右眼外凸、眼球沒法轉動等,醫生指若無及時治療,有可能導致死亡。幸而,她接受抗感染治療後,病情逐漸穩定。
此外,選擇合適的美容及保健品,也可內外配合保持面臉清潔、減少暗瘡。
延伸閱讀
